Recientemente he tenido el honor de participar en el III Symposium sobre controversias en Medicina de la Reproducción y en Medicina Perinatal (REPRONATAL 2020) , organizado por la unidad de Medicina Perinatal y Unidad de Reproducción del Hospital Clínico San Carlos de Madrid.
Un Symposium ambicioso tanto en el programa como en la calidad de los ponentes que allí se dieron cita. La idea de combinar temas de reproducción humana y de medicina perinatal en un mismo evento, han hecho de estas jornadas, una cita especial.

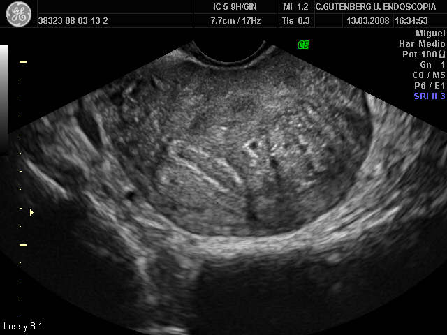
La ponencia sobre la repercusión de la adenomiosis en la fertilidad, comenzó con una respuesta clara y firme: la adenomiosis AFECTA a la fertilidad. Por un lado disminuye las tasas de implantación embionaria y por otro aumenta el doble la posibilidad de sufrir un aborto.
Además las mujeres con adenomiosis tienen más posibilidad de retraso de crecimiento intrauterino, de parto prematuro y de rotura prematura de membranas, por lo que podemos decir que la adenomiosis afecta también a la evolución del embarazo.
Es cierto que no todas las mujeres con adenomiosis padecen la sintomatología anteriormente citada. Un 30% de las pacientes con adenomiosis son asintomáticas. Los últimos estudios, revelan que a mayor extensión de la misma y mayor sintomatología (sobre todo menorragias o reglas muy abundantes), mayor afectación de la fertilidad.
Si te han diagnosticado adenomiosis y padeces de infertilidad, contacta con un especialista en reproducción.
Dr. Luis Alonso Pacheco
Cirugía Reproductiva
